Den lille leverikten - Dicrocoelium dendriticum

Den lille leverikten (Dicrocoelium dendriticum)er vanlig hos storfe, sau og geit i hele landet, og forekommer også hos søramerikanske kamelider som lama og alpakka. Den har begrenset betydning for storfe og småfe, men har vist seg å være mer sjukdomsfremkallende for kamelider som lama og alpakka. 

Hos husdyr kan den lille leverikten medføre et visst økonomisk tap ved at infiserte levre kasseres ved slakting. Veterinærinstituttet har de siste årene mottatt mye materiale fra døde kamelider. Resultater fra undersøkelser av dette materialet viser at D. dendriticum er mer sjukdomsfremkallende for disse artene enn for andre husdyrarter i Norge.

Det voksne stadiet av D. dendriticum er en lansettformet, flat parasitt som måler  8–12 x 2 mm. D. dendriticum blir i Norge kalt den lille leverikten for å skjelne den fra en annen leverikte, Fasciola hepatica, som i voksent stadium måler  20–30 x 10 mm og derfor kalles den store leverikten. 

Om parasitten og smitteveier

Parasitten (Bilde 1) har en indirekte livssyklus og må ha mellomverter for å kunne fullføre utviklingen og opptre som parasitt hos endeverten. Endevertene kan være tamme og ville drøvtyggere, samt kameldyr. Den lille leverikten må ha to mellomverter; skallbærende landsnegler som første mellomvert og en maurslekt som andre mellomvert.

Liten leverikte Dicrocoelium dendriticum på lamalever
Bilde 1. Den lille leverikten har to sugeskåler (vist med piler) og er her avbildet mot en lamalever som den ble funnet i. Foto: Inger Sofie Hamnes, Veterinærinstituttet.

De kjønnsmodne iktene i gallegangene hos endeverten legger embryonerte egg som føres ut av gallegangene og tarmen med vertens avføring. Disse eggene er svært resistente og kan overleve opp mot ett år ute i miljøet. De overlever i minst tre måneder ved ÷10 ºC, og i tillegg overvintrer iktelarver i både snegler  og maur (mellomvertene).

Hos mange drøvtyggere, f.eks. småfe, storfe og rein, oppholder den lille leverikten seg kun i mage-tarmkanalen og i gallegangene der den utvikler seg til en voksen eggproduserende ikte.

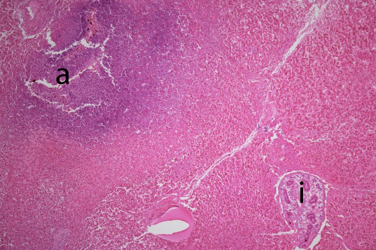
Fra andre europeiske land er det tidligere rapportert at D. dendriticum opptrer annerledes hos kamelider enn hos drøvtyggere. Når larver av den lille leverikten er kommet opp i leveren, holder den seg ikke bare til gallegangene, men enkelte kan også vandre rundt i levervevet (Bilde 2). Der utløser de en langt kraftigere reaksjon enn larver i gallegangene. Dette problemet er nå også bekreftet her i Norge av Veterinærinstituttet.

 

Et mikroskopbilde av en alpakkalever med en liten verkebyll og en Dicrocoelium dendriticum leverikte.
Bilde 2. Et mikroskopbilde av en alpakkalever med en liten verkebyll (merket a) og en Dicrocoelium dendriticum leverikte (merket i). Foto: Veterinærinstituttet.

Sykdomstegn og diagnostikk

Hos storfe, småfe og rein følger iktene gallegangene fra tarmen til levra uten å vandre gjennom levervevet. De har derfor svært liten patogen effekt før kjønnsmodning. De voksne iktene i gallegangene er heller ikke særlig sjukdomsfremkallende. Ved massiv infeksjon vil de imidlertid føre til fortjukkede galleganger og økt bindevevsdannelse i levra og sannsynligvis også påvirke tilvekst og ullproduksjon negativt.

Hos kamelider vil enkelte larver kunne vandre rundt i levervevet og utløse en kraftig reaksjon. Dette kan gi symptomer som mistrivsel, avmagring og anemi til tross for tilsynelatende brukbar matlyst. Ved massiv infeksjon med D. dendriticum kan alpakka og lama dø. Årsaken til det langt mer alvorlige forløpet man kan se hos søramerikanske kamelider, skyldes sannsynligvis manglende evolusjonær tilpasning til denne leverikten i Europa.

Diagnostikk
Egg av den lille leverikten kan påvises ved laboratorieundersøkelse av avføringsprøver fra voksne dyr. Utskilling av egg er ikke kontinuerlig på grunn av ujevn tømming av galleblæra. Sjøl om det ikke påvises egg ved én undersøkelse kan en derfor ikke være sikker på at dyret ikke har den lille leverikten. Hos lama og alpakka påvises av og til leverskader forårsaket av den lille leverikten ved obduksjon. Dyr utvikler liten eller ingen immunitet mot den lille leverikten, og undersøkelser av blodprøver ser ut for å ha liten verdi.

Mikroskopbilde av egg av liten leverikte.
Bilde 3. Et mikroskopbilde som viser egg av Dicrocoelium dendriticum. Foto: Inger Sofie Hamnes, Veterinærinstituttet.

Forebygging, behandling og kontroll

Det er i utgangspunktet svært vanskelig å forebygge infeksjon med den lille leverikten hos dyr som går på udyrka beite. Spesielt på utmarksbeite vil det finnes smitte fra tidligere beiting av husdyr og fra ville dyr. På utmarksbeite vil det i tillegg være gode forhold for mellomvertene (snegler og maur). Fulldyrking av beiter vil redusere smittepresset fordi livsbetingelsene for mellomvertene blir dårligere, men kulturbeite vil ofte gi større smittepress med bendelorm og rundorm.

Det er sjelden aktuelt å behandle småfe og rein spesielt mot den lille leverikten fordi behandlingskostnadene pr. dyr ofte blir større enn verdien av ei kassert lever og redusert tilvekst. Av registrerte preparat har albendazol (Valbazen®) en viss effekt, men man må benytte en større dose enn mot løpe-tarmnematodene, dvs. 10 mg/kg to ganger med ei ukes mellomrom.

Ut fra erfaringene Veterinærinstituttet har om skadevirkningene som den lille leverikten kan forårsake hos kamelider, er behandling av dyr over ett år, rettet mot denne parasitten, aktuell. Voksne dyr kan ha akkumulert smitte over flere år og således være hardere angrepet enn unge dyr. Behandling av kamelider kan imidlertid være problematisk. Ingen parasittpreparater er registrert i Norge for bruk til lama og alpakka. Det foreligger rapporter om gode resultater etter behandling med praziquantel 50 mg/kg kroppsvekt. I litteraturen er det meldt om problemer med bruk av doseringspistol og nøyaktig vektbestemmelse er nødvendig hvis en vil bruke albendazol.

Om man overhodet skal velge å behandle, behandle dyr med eller uten symptomer, årlig behandling eller oftere, bør diskuteres med lokal veterinær. Det kan variere fra sted til sted og fra år til år når på året det er mest aktuelt å behandle. Veterinærinstituttets foreløpig forslag er august måned.

Mer informasjon

  • Leverikter hos tamrein
    Josefsen et al. 2014. Parasitter hos rein i Fennoskandia – en oversikt. Norsk Vet Tid 2:126-201

Kontaktpersonar:

Les siste nytt fra Veterinærinstituttet

 
Alle nyheter

Aktuelle fagområder