Mykobakteriose hos fisk (Mycobacterium spp.)

Mykobakteriose hos fisk er en smittsom og i stor grad subakutt til kronisk sykdom, karakterisert med knutedannelse i indre organer og lesjoner på huden, med resulterende avmagring og død i senere stadium. 

Laks infisert av Mycobacterium salmoniphilum viser knuter på lever - Foto Adam Zerihun - P6200033 (002)_web.jpg
Laks infisert av Mycobacterium salmoniphilum viser knuter på lever. Foto Adam Zerihun

Mykobakteriose er en infeksjonssykdom forårsaket av mykobakterier. Det finnes flere beskrevne arter, hvorav noen er forbundet med sykdom hos fisk. Av disse har Mycobacterium salmoniphilum vært påvist hos laksefisk i Norge. 

Torsk (Gadus morhua) er også vist mottakelig for bakterien i et forsøk gjennomført av Veterinærinstituttet, og i 2023 ble mykobakteriose påvist hos makrell i Norge for første gang. 

Mykobakteriose er ikke en meldepliktig sykdom hos laksefisk, og det finnes per i dag ingen effektiv vaksine eller behandling mot sykdommen. 

Generelle forhåndsregler for å hindre at bakterieinfisert materiale kommer i kontakt med skadet hud er anbefalt ved håndtering av infisert fisk, da enkelte fiskepatogene mykobakterier kan ha et zoonotisk potensiale. 

Smittestoff og smitteveier

Mykobakterier er utbredt i naturen med et stort antall beskrevne arter, hvor noen er assosiert med sykdom hos mennesker og dyr. De mest kjente mykobakterier hører til den såkalte «M. tuberculosis gruppen». Denne gruppen forårsaker alvorlig sykdom hos mennesker og dyr. Atypiske mykobakterier, også kjent som” non-tuberculous mycobacteria” (NTM) eller «mycobacteria other than tuberculosis” (MOTT), forekommer hos mange fiskearter som lever vilt, i oppdrett og i akvarium, i både fersk- og saltvann. Sykdomsutbrudd årsaket av slike mykobakterier kan være assosiert med høy dødelighet og kan forårsake store økonomisk tap. 

De mest kjente fiskepatogene mykobakterier er M. fortuitum, M. marinum, M. chelonae, M. shottsii, M. pseudoshottsii og M. salmoniphilum. Molekylære undersøkelser av M. salmoniphilum isolater viser at denne arten er i nær slekt med M. chelonae

Navnsetting i denne bakteriegruppen har blitt foreslått revidert, men forslagene er noe omdiskutert og både Mycobacterium og de foreslåtte nye genus-navnene kan brukes. Av de mest kjente har Mycobacterium chelonae og M. salmoniphilum blitt foreslått plassert i slekten Mycobacteroides, M. fortuitum i slekten Mycolicibacterium, mens M. marinum fortsatt er plassert i genus Mycobacterium

Smitte opptrer mest sannsynlig ved direkte kontakt med infisert fisk, gjennom fôr eller vann. Vertikal smitteoverføring (fra foreldrefisk til avkom) har vært beskrevet hos enkelte fiskearter, men blir ikke sett på som et stort problem. Sykdommen har lang inkubasjonstid, opptil flere uker, og infisert fisk kan være symptomfri i flere år etter at den har blitt smittet. Det er ikke fullstendig kjent hvorvidt mykobakterier hos fisk er primære eller sekundære patogener, men mye tyder på at infeksjonen svekker fiskens immunforsvar, og gir muligheter for sekundære infeksjoner med andre sykdomsfremkallende agens. 

Sykdomstegn

Mykobakteriose opptrer vanligvis som en kronisk sykdom med varierende dødelighet. Kliniske tegn er ofte vage, og inkluderer slapphet og nedsatt tilvekst. Noen utvikler sår og blødninger i huden. Hos fisk som har vært syk over lengre tid er avmagring et typisk funn. I de senere år er det beskrevet en akutt sykdomsform hvor det ved histopatologisk undersøkelse har blitt påvist fibrinøs peritonitt med bakterier langs bukhinnen, nekrose i indre organer og store mengder stavbakterier i blodkar og interstitium i hjerte, gjeller, lever, nyre, hud og muskulatur. 

Diagnostikk

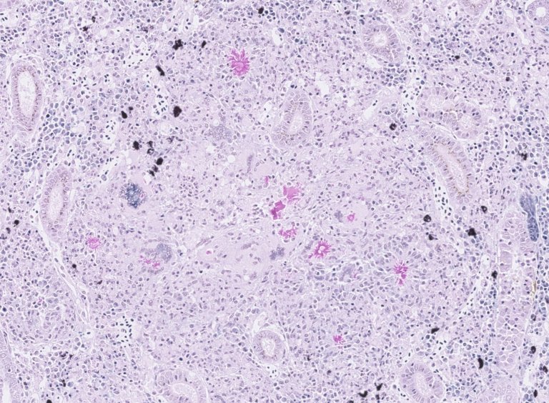
Ved obduksjon av infisert fisk finner man patologiske lesjoner i form av granulomer (knuter) i indre organer, hudlesjoner, svullen milt og nyre. Granulomdannelser i laksefisk kan være mindre uttalt enn hos andre fiskearter. 

I vevssnitt kan det sees granulomdannelse i indre organer, av og til med funn av Splendore–Hoeppli materiale sentralt i granulomene. Mykobakterier er syrefaste staver. Bakteriene kan farges i vevssnitt ved hjelp av spesialfarginger som Ziehl-Neelsen og/eller ved bruk av antistoffer (immunhistokjemi). Bakterien M. salmoniphilum vokser ved 22-30°C og kultiveres best på selektive vekstmedier som Middlebrook 7H10-agar eller CHAB-agar. Enkelte hurtigvoksende mykobakterie-arter vokser også på blodagar. Bakterien kan i tillegg påvises ved molekylærbiologiske metoder. 

Differensialdiagnoser

Aktuelle differensialdiagnoser avhenger av fiskeart, men inkluderer infeksjon med Yersinia ruckeri, Francisella noatunensis, Piscirickettsia salmonis, Renibacterium salmoninarum, Nocardia sp., Spesielt Nocardia-infeksjoner kan være vanskelige å skille fra mykobakterieinfeksjoner. 

Faktaside Mykobakt_foto_Julie C Svendsen.jpg
Nyrevev fra laks. Granulomatøs betennelse med kjempeceller og Splendore-Hoeppli legemer (Ziehl-Neelsen fargemetode). Immunhistokjemisk undersøkelse for Mycobacterium sp. ga positiv merking av bakterier hos samme individ. Foto: Julie Christine Svendsen, Veterinærinstituttet

Forekomst

Før 2006 var det bare sporadiske diagnoser av mykobakteriose i Norge, hovedsakelig i akvarier og hos villfisk. I 2006/2007 stilte Veterinærinstituttet diagnosen mykobakteriose forårsaket av M. salmoniphilum på ca. 11 lokaliteter med laksefisk, og det ble også registrert noen enkeltutbrudd i 2008 og 2009. Etter dette var det relativt stille med hensyn til videre påvisninger fram til 2018/2019 da det igjen ble registrert 3 tilfeller. Siden da har sykdommen blitt påvist på årlig basis i varierende forekomst, med et så langt toppår i 2023. 

Tiltak

Mykobakteriose hos fisk er en ikke-meldepliktig sykdom og per i dag finnes det ikke klare retningslinjer for forvaltningsmessig håndtering av sykdommen i oppdrettsanlegg. 

Det finnes per i dag ingen effektiv behandling mot mykobakteriose. Bakteriens cellevegg, og dannelse av granulomer i indre organer, vanskeliggjør behandling med antibakterielle medikamenter. Det finnes ikke godkjente vaksiner mot denne sykdommen hos fisk. 

De fleste fiskepatogene mykobakterier, inkludert M. salmoniphilum, vokser ikke ved 37 ºC, og det finnes per i dag ikke noe sikkert grunnlag for å påstå at humant konsum av fisk som er infisert med mykobakterier representerer en helserisiko. Flere mykobakterier, deriblant M. marinum og M. chelonae, som er nært beslektet med M. salmoniphilum, kan gi hudlesjoner hos menneske i form av overfladiske granulomer og sår, og kan spres til dypere vev hos personer med nedsatt immunforsvar. Generelle forhåndsregler for å hindre at bakterieinfisert materiale kommer i kontakt med skadet hud er anbefalt ved håndtering av infisert fisk.