Parvicapsulose

Sykdommen parvicapsulose hos laks er forårsaket av parasitten Parvicapsula pseudobranchicola

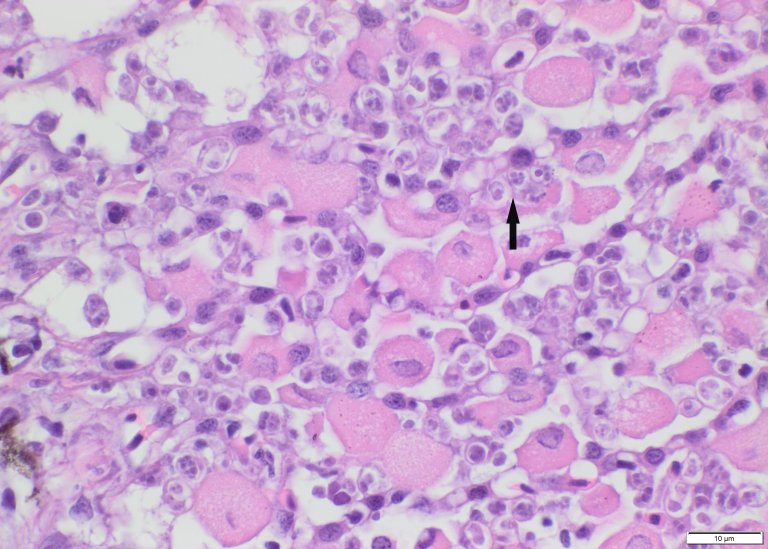
20250117 Faktaside Parvi_foto_Toni E.jpg
Pseudobrankier hos laks med den flercellede parasitten Parvicapsula pseudobranchicola (pil). Foto: Toni Erkinharju, Veterinærinstituttet

Parasitten har vært kjent fra oppdrett siden 2002 og kan gi store tap av oppdrettslaks i sjøfasen, særlig i Troms og Finnmark. Det finnes ikke behandling eller profylaktiske tiltak mot parasitten. 

Smittestoff og smitteveier

Parvicapsula pseudobranchicola er en flercellet parasitt som tilhører gruppen myxozoer (Myxozoa) og klassen Myxosporea, myxosporidier.   

Myxosporea er, sammen med Malacosporea, de to hovedgruppene av Myxozoer- en gruppe flercellede parasittiske organismer som er systematisk klassifisert som nesledyr (Cnidaria). Arter i Malacosporea har mosdyr som hovedvert, mens myxosporidiane har fåbørstemark eller børstemark som hovedvert. Fisk er som oftest mellomvert. Parvicapsula pseudobranchicola kan ha flere laksefisk som mellomverter og er påvist i både laks, røye, ørret og regnbueørret. Sluttverten er føreløpig ikke beskrevet, men en islandsk forskningsgruppe oppga i 2023 å ha funnet den aktuelle børstemarken. Dette gir håp om større forståelse for sykdommen, og muligheter for å iverksette tiltak. Veterinærinstituttet og Universitetet i Bergen samarbeider med den islandske forskningsgruppen for å skaffe mer kunnskap om parasitten. 

Fisken blir smittet ved at såkalte actinosporer slipper fra børstemarken (hovedverten) og fester seg til fisken (mellomverten) ved hjelp av polarfilament som blir skutt ut fra polkapsler i sporen, slik at sporoplasma kan trenge gjennom epidermis. Sporoplasma inneholder en rekke sekundærceller, og når sporoplasmaet sin cellevegg blir brutt ned, kan disse sekundærcellene infisere nærliggende vev. 

Deretter oppformerer parasitten seg ukjønnet i de infiserte cellene, og nye celler kan også infiseres. Dette blir kalt ekstrasporogoniske stadium av infeksjonen, som innebærer en oppformering, men at det ikke blir dannet sporer. En myxosporidie har ofte flere ekstrasporogoniske stadier, og nye vev blir infiserte via infektive celler som sirkulerer i blodbanen. Dette kan føre til at flere typer vev kan infiseres og skades. 

Det endelige målet for infeksjonen i fisk er at det blir dannet sporer som kan gå ut av fisken og infisere hovedverten. Organet der disse myxosporane blir dannet kalles målorgan og for P. pseudobranchicola er målorganet vist å være pseudobrankiene, derav det latinske navnet. Myxosporane vil etter hvert fylle opp store deler av vevet i pseudobrankien og gjøre stor skade. 

Sykdomstegn

Fisk med parvicapsulose er ofte anemiske og en kan ofte se blødninger i øyne, gulaktig belegg på pseudobrankiane, gul misfarga lever og patologiske forandringer i lever og nyre. 

Pseudobrankiane deltar i kontroll av ionelikevekten hos fisken og forsyner øyet med oksygenrikt blod. Pseudobrankiane kan bli sterkt skadet og i mange tilfelle helt degenerert, noe som kan medføre redusert blod- og oksygentilgang til øyet, som igjen kan føre til nedsatt syn eller blindhet. 

I noen tilfeller er dødeligheten stor hos fisker med store makroskopiske forandringer, mens i andre tilfeller overlever slik fisk uten problemer. På den andre siden er det blitt registrert høy dødelighet hos fisk med mindre tydelige makroskopiske forandringer. Dødelighet ved parvicapsulose skyldes derfor trolig at ulike vev blir angrepet og skadet av parasitten. Anlegg hvor fisken også har andre sykdommer i tillegg til parvicapsulose vil trolig ha en høyere dødelighet. 

Diagnostikk

Parvicapsula pseudobranchicola kan påvises ved hjelp av histologi, først og fremst på materiale fra pseudobrankier.  Parasitten kan også påvises vha real-time PCR i for eksempel nyreprøver som tas ut til standard analyser. Annet vev som inneholder blod, inkludert pseudobrankien, kan også benyttes. Vev til biologisk undersøkelse skal fikseres på formalin, mens vev til real-time PCR skal preserveres i RNA-later eller etanol (EtOH) uten tilsetningsstoff.

Forekomst

Parasitten og sykdommen er påvist hos både vår- og høstutsatt oppdrettslaks, fra Hordaland til Finnmark. De viktigste forekomstene er i anlegg i de nordligste landsdelene (Finnmark og Troms), og det er stort sett fra denne regionen det rapporteres om utbrudd av parvicapsulose. Parasitten er også vanlig å finne i vill laks og ørret langs hele norskekysten og er også påvist i sjørøye. Det kan være smitte i sjøen i store deler av året, men nyere forsking tyder på at smittevinduet i Finnmark er fra juni til desember, med en topp i august til september. 

Tiltak

En kjenner ikke til spesielle tiltak som kan hindre parvicapsulose, men godt miljø og helsemessig robust fisk som er fri for andre sykdommer kan redusere tapene. 

Kontaktpersoner: