Piscirickettsiose 

Piscirickettsiose er en alvorlig bakteriesykdom hos laksefisk. Sykdommen er påvist sporadisk i Norge de siste tjue årene. I 2024 ble det registrert flere utbrudd i Nordland og Troms. Varmere sjø og hyppige påvisninger i Skottland og Irland betyr at fiskehelsepersonell må være oppmerksomme. 

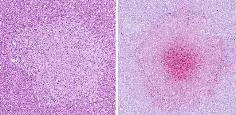
FHR 2024 Figur 7.7.2 Hist lever pisci HE_IHK_Anne Berit Olsen.jpg
Vevssnitt av lever fra fisk med piscirickettsiose. (t.v.) Lyst området med vevsendringer som skyldes betennelse (HE-farging). (t.h.) Bakterien Piscirickettsia salmonis påvist i samme område ved immunhistokjemisk metode (IHK). I lesjonen er det flest bakterier (røde) sentralt og i kanten mot friskt levervev. Bakteriene infiserer nye celler og sprer betennelsen. Foto: Anne Berit Olsen, Veterinærinstituttet

Smittestoff og smitteveier

Piscirickettsiose eller salmonid rickettsial septicaemia (SRS) skyldes en gramnegativ, fakultativ intracellulær bakterie som heter Piscirickettsia salmonis

Sykdommen er påvist hos atlantisk laks og ulike arter av stillehavslaks, deriblant regnbueørret, rognkjeks og havabbor i forskjellige land. I Norge er sykdommen typisk påvist hos laks i løpet av den første høsten etter sjøsetting. 

I ferskvann overlever bakterien i kort tid utenfor verten, men kan overleve minst to uker i sjøvann og best ved lave vanntemperaturer (rundt 5 ºC). Det finnes ulike genotyper i Chile, Skottland og Irland og blandede infeksjoner er mulig. Studier tyder på at ulike varianter av bakterien kan ha ulik evne til å gi sykdom og død. De få norske isolatene som er studert så langt tilhører en genotype som er mindre sykdomsfremkallende enn chilenske isolater. 

Reservoaret for Piscirickettsia salmonis er ikke kjent, men bakterien har blitt påvist i bakterieplankton. Vektorer som parasittiske tanglus (isopoden Ceratothoa gaudichaudii) og lus i slekten Caligus har blitt knyttet til spredning og forverring av utfall av sykdommen i Chile. Viktigste smittevei er horisontalt fra fisk til fisk uten vektor, og eksperimentelt øker høy tetthet smitteoverføringen. Det er kjent fra Chile at strømforhold mellom anlegg har betydning for smittespredning. Vertikal overføring (smitte fra foreldre til avkom) har vært påvist eksperimentelt, men er ikke oppfattet som en vesentlig mekanisme for spredning av piscirickettsiose. 

Historisk har norske utbrudd ofte, men ikke alltid, kommet i etterkant av varme sommere med høy temperatur i sjøen, og i studier fra Chile er det flest utbrudd ved høye vanntemperaturer. Sammenhengen mellom temperatur, salinitet og andre forhold i sjømiljøet som kan ha betydning, er elles ikke avklart. 

Sykdomstegn

Fisk med piscirickettsiose trenger ikke å vise ytre tegn på sykdom, men kan ha nedsett appetitt, være apatisk og ha endret adferd i form av ukoordinert svømming. Gjellene kan være bleke og huden mørkpigmentert. En kan se hudblødinger, sår (ofte blodige og runde) og/eller faste, knuteaktige hevelser. Innvending kan det være blødninger i svømmeblæren, bukhinnen, fettvev og muskulatur, forstørret nyre og milt og klar eller blodig væske (ascites) i bukhulen. Lesjoner og bakterier kan finnes i de fleste organene, men under norske forhold har det vært typisk å se få til mange lyse, ofte ringforma og delvis blodige, områder i en gulaktig eller normalt farget lever. 

Dødeligheten kan variere betydelig. I Norge har den stort sett vært beskjeden, men det er registrert ca. 5-6 prosent i en merd. En kan finne syke individer over lang tid. Oftest har det vært svake grupper som har blitt syke, og stress og andre sykdommer er risikofaktorer. 

Diagnostikk

Innsendte kadavere eller organer blir vurdert makroskopisk, og formalinfikserte og preparerte vevsprøver blir undersøkt i mikroskop (histologi) for å se etter forandringer som er karakteristiske for piscirickettsiose. Bakteriene kan bli påvist i vevssnitt ved hjelp av immunhistokjemi (bruk av spesifikke antistoffer). Bakterien kan dyrkes i cellekultur eller på blod- og cysteinbasert agar (CHAB), og vokser best ved 20-23 ºC. P. salmonis kan påvises i vevsprøver med PCR. 

Forekomst

Piscirickettsiose ble først registrert i både Chile og Norge på slutten av 1980-talet. I Chile fører sykdommen til høy dødelighet, store økonomiske tap og høyt forbruk av antibakterielle medikament. Betydningen av piscirickettsiose har vært lavere på den nordlige hemisfære, men regnes som en stor trussel i irsk, og til en mindre grad, i skotsk lakseoppdrett. Sykdommen ble påvist på særlig mange lokaliteter i Norge på slutten av 1980-tallet og i 2002. De siste 20 årene er den bare påvist sporadisk, men det ble registrert flere utbrudd i Nordland og Troms i 2024. 

Overvåking

Piscirickettsiose var tidligere meldepliktig som en B-sykdom i Norge, men er ikke listeført i dag. Det er derfor ingen offisiell statistikk over forekomsten, og det er vanskelig å anslå nøyaktig omfang.

Tiltak

I Chile blir piscirickettsiose kontrollert med vaksinering, avl og antibiotikabruk, men er likevel et betydelig problem.  Sykdommen regnes som den viktigeste driveren av antibiotikabruk i oppdrett i landet. Ettersom bakterien delvis overlever inne i laksens celler, gir antibiotikabehandling ofte ikke god effekt. Kunnskapshull om reservoar og overføringsmekanismer har hindret utvikling av gode tiltak for effektiv kontroll. Tilgjengelige vaksiner har variabel langtidseffekt. Ingen vaksiner er per i dag godkjent for bruk i Norge. Overvåking og genotyping av isolat er viktig for å ha oversikt over bakterievarianter, forstå virulens og bestemme følsomhet for antibakterielle medikamenter for eventuell bruk. 

Tidlig diagnose har avgjørende betydning for god driftsmessig håndtering. 

Veterinærinstituttet arrangerte i mars 2023 et webinar om piscirickettsiose. Se opptak fra webinaret her.  

Kontaktpersoner:

Les siste nytt fra Veterinærinstituttet

 
Alle nyheter