Prioner
Prionprotein (PrPc) finnes naturlig i kroppen, men kan omformeres til en unormal form (kalt for PrPSc eller PrPres), som gjør at proteinet ikke oppfyller sin funksjon i kroppen.
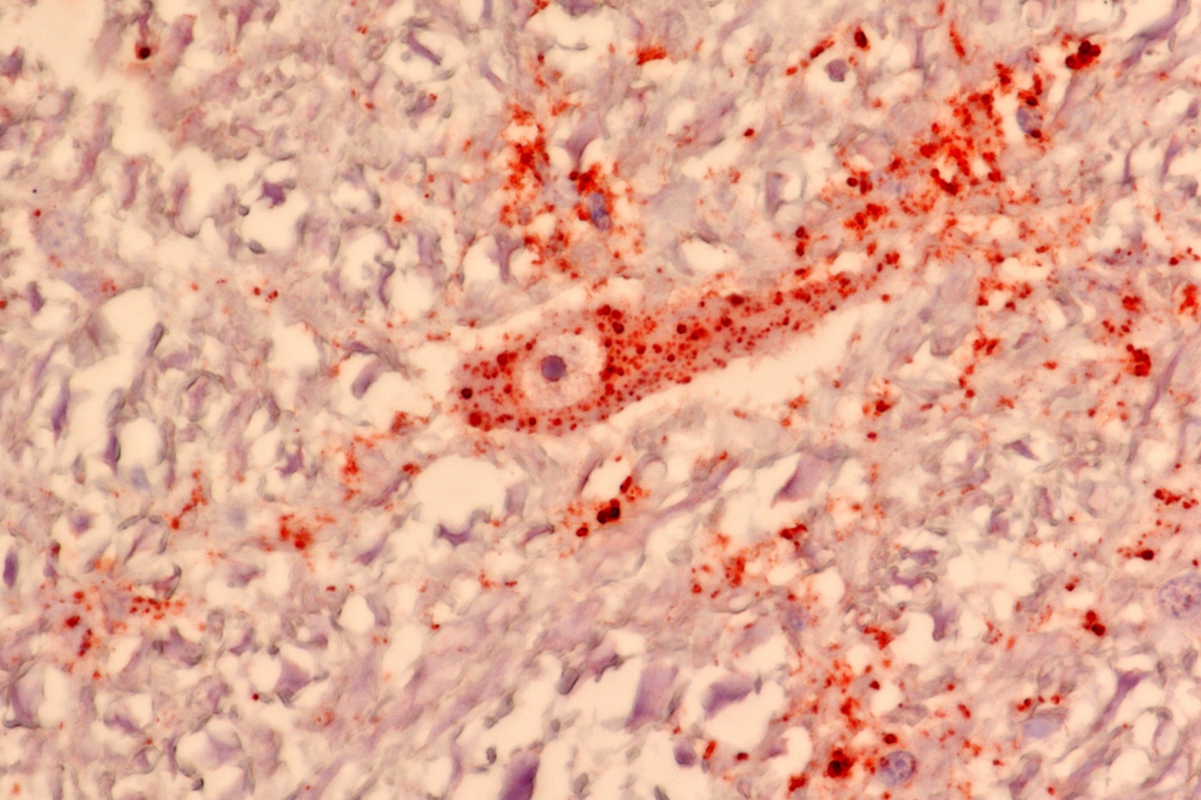
PrPSc er mer resistent overfor kroppens enzymer, slik at det ikke brytes ned, men akkumuleres i sentralnervesystemet til det affiserte dyret og ødelegger hjernen. PrPSc er svært resistente overfor fysikalske og kjemiske påvirkninger og kalles også for PrPres.
Sykdom i gruppen Transmissible Spongiform Encefalopathies (TSE) er overførbare nevrodegererative lidelser som forekommer relativt sjeldent hos pattedyr, inkludert mennesker. En annen fellesbetegnelse ut fra antatt årsak er prionsykdommer.
Prionsykdommer omfatter Creutzfeldt-Jakob sykdom (CJD) hos mennesker. Hos dyr heter sykdommen Bovin Spongiform Encefalopathy (BSE eller kugalskap) hos storfe, scrapie hos småfe og Chronic Wasting Disease (CWD) hos ville dyr. Prionsykdommer har en lang inkubasjonstid, det vil si at det tar flere måned til flere år mellom tiden dyret er smittet og tiden den viser tegn på sykdommen, og har alltid en dødelig utgang.
Prionsykdommer diagnostiseres på grunnlag av påvisning og karakterisering av resistent prionprotein i hjernevev (PrPSc).
Ulike typer TSE
Hos småfe finnes det 2 typer skrapesyke: den klassiske varianten, som er meget sjelden, ble diagnostisert sist i 2009. Den atypiske formen, kalt for Nor98, er diagnostisert hos ca. 10 sauer per år i Norge. (ref publikasjon Benestad 2013 og fakta ark om skrapesyke).
Hos storfe finnes det 3 typer BSE: den klassiske varianten som er knyttet til smitten via infiserte kjøttbenmel har aldri blitt påvist i Norge. I 2015 ble et tilfelle av en av de 2 atypiske BSE typer (BSE-L) diagnostisert hos et skotsk (riktignok norskfødt) høylandsfe.
Chronic Wasting Disease (CWD) hos vilt var en Nordamerikansk sykdom. I april 2016 ble CWD diagnostisert for første gang i Europa, og for første gang i verden hos reinsdyr (link web side, Nature News).
Hva gjør Veterinærinstittutet
Veterinærinstituttet utfører testingen i regi av overvåkningsprogrammet for TSE på oppdrag fra Mattilsynet. Veterinærinstituttet er det nasjonale referanselaboratoriet for TSE og leverer forskningsbasert kunnskap om prionsykdommer til forvaltningen, næringsliv og andre.
Prøvetaking og diagnostikk
Veterinærinstituttet utfører en rekke ulike typer diagnostiske undersøkelser for å oppklare og kartlegge sykdomsutbrudd og på oppdrag.
Rapporter
- Helseovervåkingsprogrammet for hjortevilt og moskus (HOP) 2019
- Kartlegging og overvåking av skrantesjuke (Chronic Wasting Disease - CWD) 2016-2018
- Helseovervåkingsprogrammet for hjortevilt og moskus (HOP) 2018
- Kartlegging av skrantesjuke (Chronic Wasting Disease - CWD) i 2016 og 2017
- Kartlegging og overvåking av skrantesjuke (Chronic Wasting Disease - CWD) 2020
Forskningsprosjekt
Nyheter
- Årsrapport for Helseovervåkingsprogrammet for vilt (ViltHOP) 2021
- Vitenskapelig publikasjon om skrantesjuke på norsk elg
- Villrein drept av lyn var fri for skrantesjuke
- Vil kun ha hjernevev og lymfeknute ved innsending av CWD-prøver
- Veterinærinstituttet tilstede på åpen dag hos AniCura
- Veterinærinstituttet har påvist skrantesjuke hos ei elgku i Trøndelag
- To nye tilfeller av skrantesjuke
- Skrantesjuke: Derfor felles akkurat disse reinsdyra
- Skrantesjuke: Bakgrunn for rådene som Veterinærinstituttet har gitt Mattilsynet angående strakstiltak på Hardangervidda
- Skrantesjuke: VKM-rapport støtter Veterinærinstituttets oppfatning om forvaltningstiltak
- Skrantesjuke påvist på reinsbukk fra Hardangervidda
- Skrantesjuke - økt forståelse er et resultat av samarbeid
- Skrantesjuke (CWD): Unike prionstammer er bekreftet hos hjortedyr i Norge
- Side om side i Arktis: Forskere samarbeider om reinprøver på Svalbard
- Retesting viktig for friskmelding av villreinbestander
- Resultater av overvåkningen av skrantesjuke (CWD) i 2019
- Prion ved sporadisk skrantesjuke hos elg og hjort finst spreidd i dyrekroppen
- Over 33 000 hjortedyr testet for skrantesjuke i 2018
- Nytt tilfelle av skrantesjuke hos elg i Sverige
- Nytt tilfelle av skrantesjuke hjå elg frå Steinkjer
- Ny rapport: Helseovervåkingsprogrammet for hjortevilt og moskus (HOP) 2018
- Ny interaktiv statistikk for skrantesjuke
- Muligens siste villrein i Nordfjella Sone 1 med skrantesjuke
- Mistanke om skrantesjuk hjort i Møre og Romsdal
- Mistanke om nytt tilfelle av skrantesjuke i Nordfjella
- Klokt å gjøre tiltak for å beskytte norsk hjortevilt mot en alvorlig trussel
- Kan tamrein fra Norge gi nye svar om dødelig sykdom?
- Jegere gir risiko for å spre skrantesjukesmitte og annen smitte
- Interessant genetisk variasjon hos villrein med skrantesjuke
- Hvor mange skrantesjuke dyr er det?
- Hjernebetennelse hos rein på Hardangervidda
- Første reinsdyr med CWD i Nord-Amerika
- Fortsatt intensiv testing for skrantesjuke
- For tidlig å friskmelde Hardangervidda for skrantesjuke
- Flere villreinbukker enn simler med skrantesjuke
- CWD-laboratoriet satte dagsrekord
- CWD-funn i Finland ligner ikke Nordfjella-typen
- CWD-funn i 2016 utløste omfattende kartleggingsarbeid
- Bekreftet skrantesjuke på voksen reinbukk i Nordfjella
- Bekreftet skrantesjuke på reinbukk i Nordfjella
- Bekreftet skrantesjuke på hjort i Møre og Romsdal
- Bekreftet elg-variant av skrantesjuke
- 125.000 sarvaeallis iskojuvvon CWD-dávda