Bekreftet elg-variant av skrantesjuke

Denne saken er eldre enn to år

Veterinærinstituttet har gjennomført ytterligere analyser av prøver fra en elg fra Lierne i Trøndelag hvor det nylig ble konstatert skrantesjuke (CWD). Analysene viser at dette er samme variant av skrantesjuke som ble påvist på to elger fra Selbu i fjor. Alle de tre påvisningene er gjort på eldre kuer (ca. 13 år gamle, etter aldersbestemmelse utført av Norsk Institutt for Naturforskning, NINA).

Denne typen skrantesjuke er ikke kjent fra Nord-Amerika og heller ikke funnet på andre hjortedyr i Norge. Påvisningene i fjor var første gang man oppdaget denne varianten.

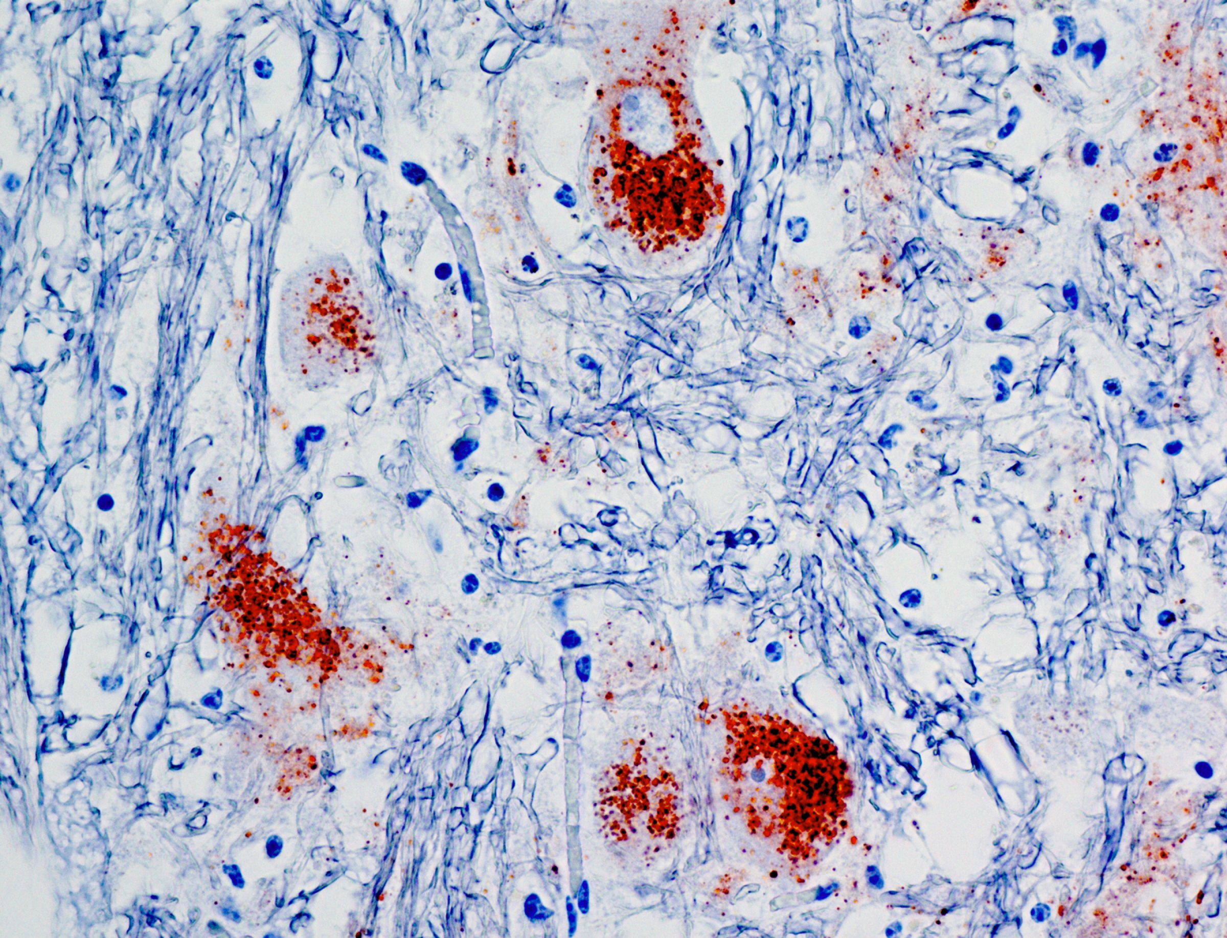
Skrantesjuke er en prionsykdom, i likhet med kugalskap (BSE) og skrapesjuke hos sau. Prionsykdommer er knyttet til unormale foldinger av et protein som normalt finnes i cellene. Kroppens egne enzymer greier ikke å bryte ned det feilfoldede prionproteinet, som hoper seg opp og gradvis ødelegger nervecellene i hjernen. 

Sammenlignet med den kjente varianten av skrantesjuke viser elg-varianten seg ved forskjeller i egenskaper ved selve proteinet og hvordan det fordeler seg i hjernen.

Det er siden i fjor tatt nær 8000 prøver av elg i Norge og altså funnet tre smittede dyr. Alle tre påvisningene er gjort kun på hjernevev. Fra to av dyrene er det tatt prøver av lymfeknuter uten tegn til smitte i disse organene.

Jørn Våge

Jørn Våge

Seniorforsker vilthelse, skrantesyke/CWD-koordinator