Bakterien som gir vintersår kan også gi hjerteproblemer hos laks

Denne saken er eldre enn to år

Veterinærinstituttet har i år diagnostisert tilfeller fra ulike sjølokaliteter der bakterien Moritella viscosa, som er årsak til vintersår, påvises i hjertet. Det spekuleres bl.a. på om funnene kan knyttes til sårutvikling nær ved brystfinner, som ligger rett utenfor hjertet, men kan ha fungert som inngangsport for infeksjon.

Dette kommer frem i mars-utgaven av spalten Vitenskapet i Norsk Fiskeoppdrett der Veterinærinstituttet bidrar med oppdatert kunnskap om fiskehelse. I artikkelen oppsummerer forskere ved Veterinærinstituttet diagnostikksaker kommet inn til instituttet der Moritella viscosa, den såkalte «vintersårbakterien», i noen tilfeller kan påvises i hjertet.

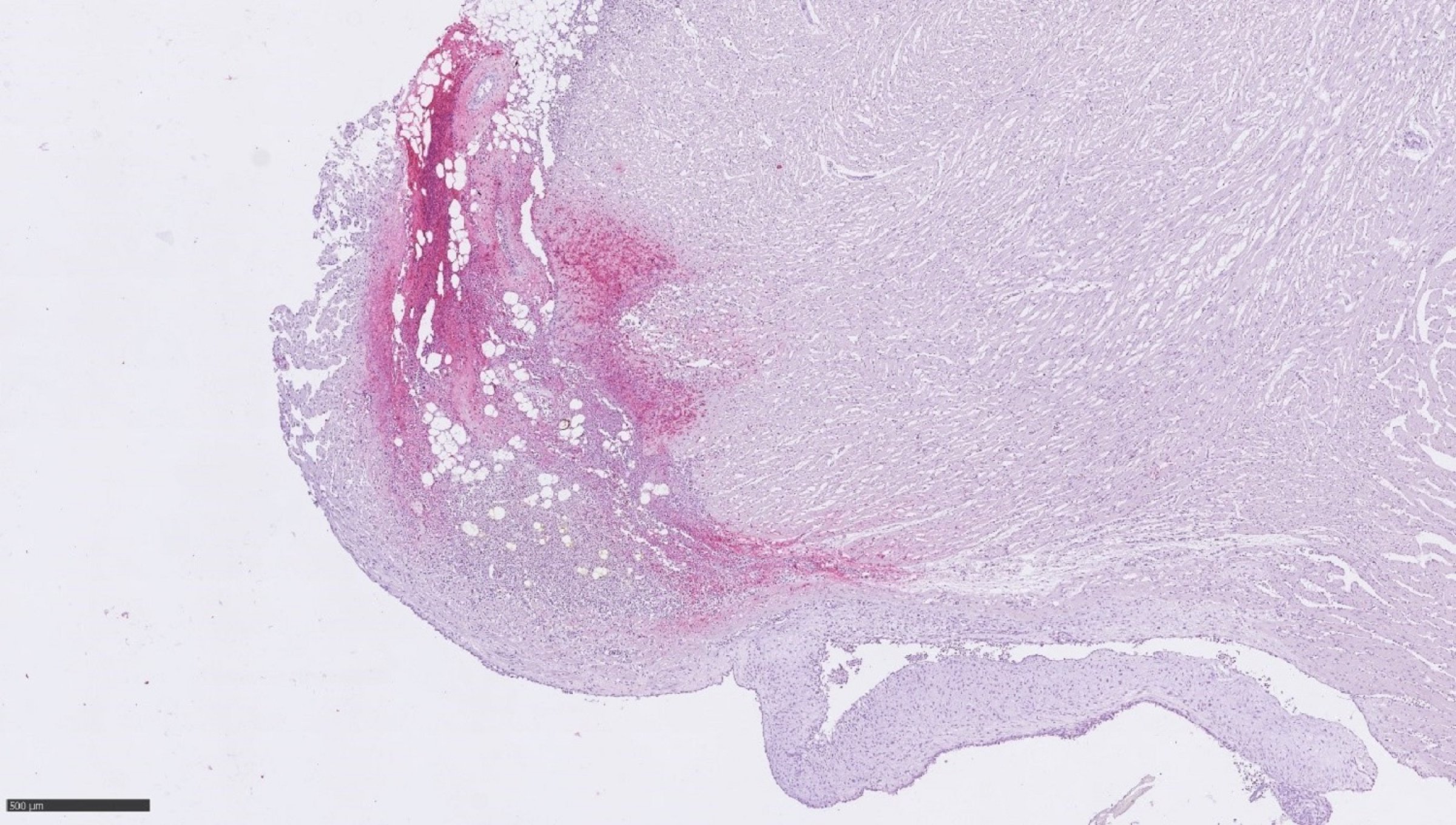
Systemisk bakterieinfeksjon med M. viscosa kan påvirke organsystemer ved bl.a. vevsskade i blodkar som fører til væskelekkasje og blødningsbilde. Så langt i 2023 har det ved instituttet vært diagnostisert fire tilfeller fra ulike sjølokaliteter, med systemisk infeksjon med M. viscosa hos laks hvor de patologiske funnene (vevsforandringer forårsaket av sykdom eller skade) skiller seg fra det så langt kjente, typiske sykdomsbildet. To av disse sakene stammet fra nabolokaliteter.

Hovedfunnet i disse tilfellene har vært betennelsesforandringer som omfatter hjertet, hos flere med kraftig væskeutsiving med fibrinavleiring og pusslignende materiale i betent hjertehinne med bakterieinfiltrasjon i ulikt omfang.

→ Her kan du lese hele artikkelen i Norsk Fiskeoppdrett.