Infeksiøs lakseanemi og biosikkerhetsutfordringer

Denne saken er eldre enn to år

ILA er en av de største truslene mot lakseoppdrett, og det er viktig å ha fokus på biosikkerhetstiltak som må være i takt med den teknologiske utviklingen i lakseoppdrettet. I Veterinærinstituttets månedlige artikkel i Norsk Fiskeoppdrett for november kan du lese mer om bakgrunnen og utfordringer.

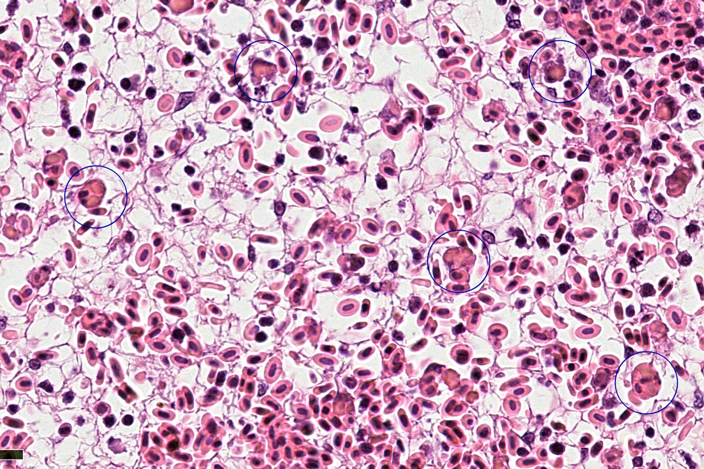
Infeksiøs lakseanemi (ILA) er som kjent en alvorlig, smittsom virussykdom hos atlantisk laks. ILA er meldepliktig både i Norge og internasjonalt. Veterinærinstituttet er referanselaboratorium for ILA, både nasjonalt og internasjonalt for OIE (Verdens dyrehelseorganisasjon

Det krever kontinuerlig innsats å holde ILA under kontroll. Vi har nå om lag 10 utbrudd årlig og virus har ofte vært sporbare til andre utbrudd. Dette viser at vi har et forbedringspotensial for å hindre smittespredning.

Last ned hele saken (pdf)

Aktuelle lenker
- Faktainformasjon om ILA
- Oppdatert statistikk for tilfeller og utbrudd av ILA