Ny kunnskap om «epiteliocystis» hos laks

Denne saken er eldre enn to år

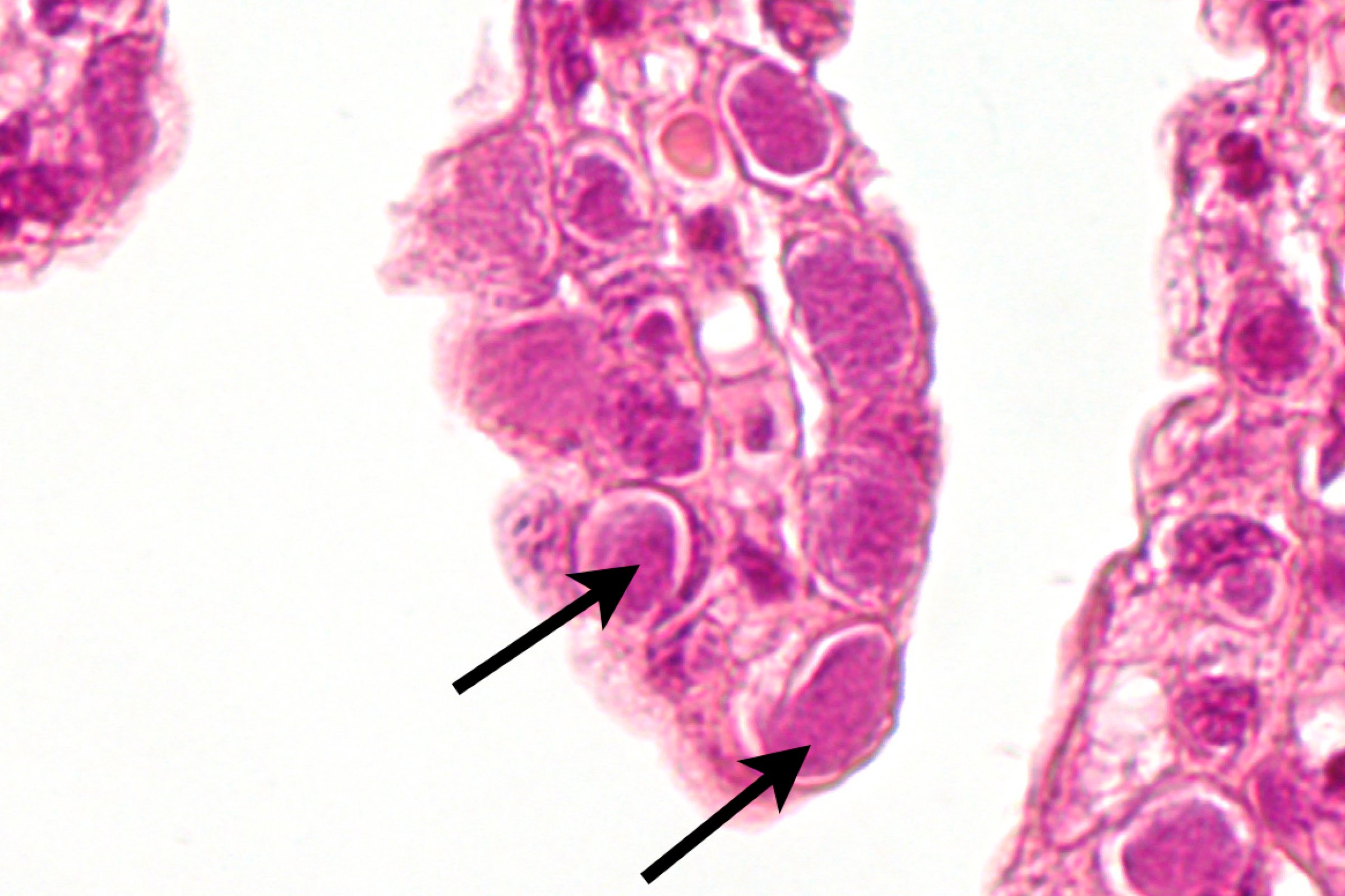
Mange ulike mikroorganismer kan påvises ved gjellesykdom hos laks. «Epiteliocyster» er innkasplede bakteriekolonier i gjellenes overfalteveller og er vanlig å finne hos laks med gjelleproblemer. Dette er tema i Veterinærinstituttets månedlige artikkel i Norsk fiskeoppdrett i februar.

For å kunne bekjempe gjellesykdom er det viktig å få mer kunnskap om disse bakteriene.

Flere bakterier kan danne epiteliocyster i gjellevevet (se bilde). Våre studier tyder på at Branchiomonas cysticola er den mest vanlige epiteliocystis-bakterien hos oppdrettslaks i Norge. Foreløpig har ingen lyktes med å dyrke bakterien i laboratoriet. Derfor gjenstår det fortsatt mye arbeid for å forstå betydningen av bakterienes rolle i utviklingen av gjellesykdom.

I artikkelen presenterer vi noen resultater fra et pågående forskningsprosjekt. 

Last ned artikkelen (pdf)