Ny kunnskap om laksepox-virus og gjellesykdom

Denne saken er eldre enn to år

Nye undersøkelser av tilfeller med gjellesykdom viser at laksepoxviruset er langt mer utbredt enn det som tidligere er antatt. Laksepox er tema i Veterinærinstituttets månedlige artikkel i Norsk fiskeoppdrett i november.

Forskerne bak artikkelen oppfordrer alle til å undersøke om viruset er tilstede når det oppstår gjelleproblemer hos laks både i ferskvann og sjøvann.

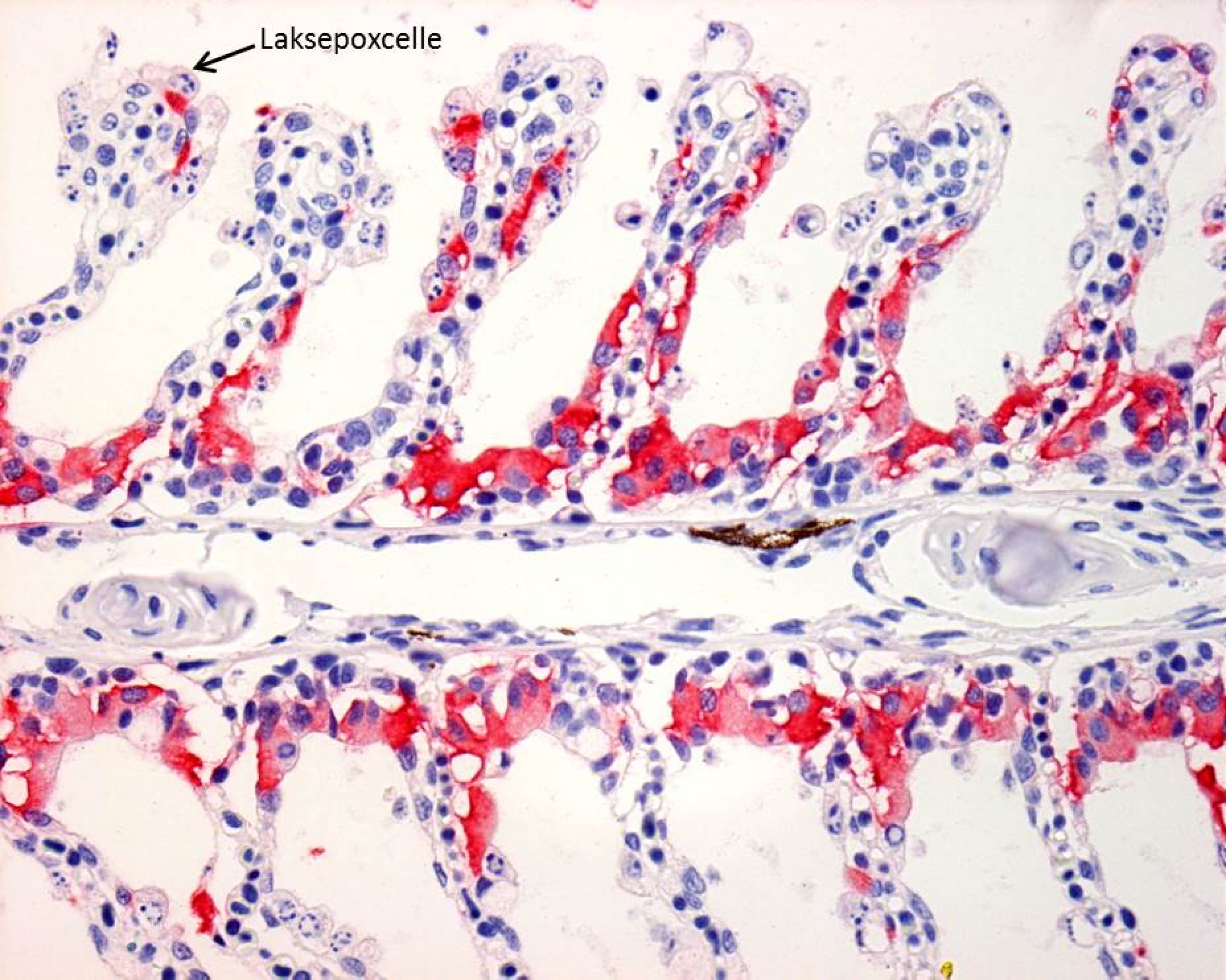
Det  har  tidligere  blitt hevdet  at laksepox bare finnes i noen få settefiskanlegg med sjøvannstilsetning. Våre undersøkelser viser altså at dette er feil. Vi har gått igjennom  flere  saker  med  gjellesykdom  hos laks  i sjøvann og som ved første øyekast har fått diagnosen AGD (figur 1). Nærmere undersøkelser viser at også laksepox er involvert, og vi har funnet viruset i lang tid etter sjøsetting.

Les hele artikkelen (pdf).